精准缝合,“膝”力重生——省荣康医院骨科微创技术助患者重获膝关节健康
发布时间:2025-12-04 15:07:21阅读次数:0作者:RONGJUN


✚ ✚ ✚


    近日,省荣康医院骨科团队成功为一例半月板损伤患者实施精准缝合手术,帮助患者重获膝关节健康。

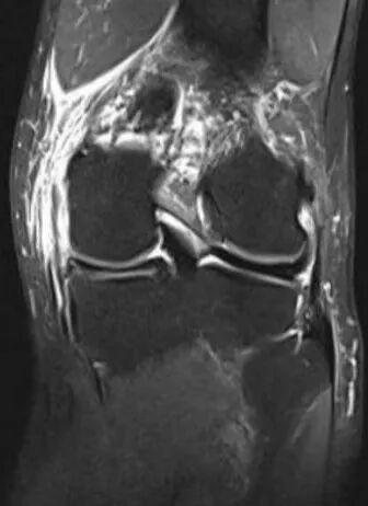
患者李先生,因外伤致左膝内侧半月板后角损伤(Ⅲ度),在腰麻下行膝关节镜下半月板缝合术,此次手术由陈功主治医师主刀,依托成熟的关节镜微创技术,在高清内镜引导下,仅通过2个微小切口便清晰显露损伤部位,运用专用缝合器械将撕裂的半月板组织精准对合、牢固固定,有效避免了传统切除手术可能带来的关节不稳、骨关节炎等远期风险。

青少年运动损伤到中老年人退行性撕裂,省荣康医院骨科团队始终以患者为中心,结合术前影像学评估与术中实时探查,为不同损伤类型、不同年龄的患者制定个性化诊疗方案。手术全程精准高效,术后搭配科室专属康复指导,帮助患者快速恢复关节活动度,多数患者术后1-3个月即可重获正常生活与运动。

省荣康医院骨科深耕运动医学领域多年,始终坚持“能缝不切”的治疗理念,最大程度保留半月板生理功能。近年来,在安徽医科大学附属安庆第一人民医院驻点专家帮扶下,依托姚金林主任打下的良好基础,姚磊主任骨科团队成功独立开展多项高难度骨科手术,以更为精湛的专业技术与温润贴心的医疗服务,全力为广大患者纾解病痛、守护健康。


END


来源 | 骨  科 
排版 | 信息科
审核 | 医务科




医院地址


安徽省桐城市文昌大道与荣康路交叉口


公交路线


1路:交警大队站下车;

3路:公安局站下车